你有這樣的煩惱嗎?
我有以上問題,怎麼辦?
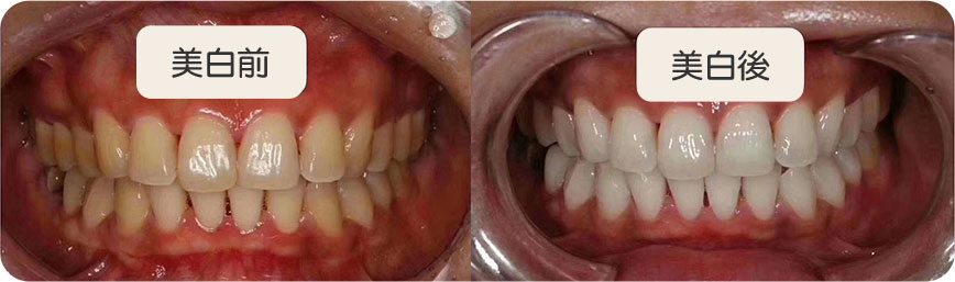
這些方式真的有效嗎?
冷光美白牙齒採用高科技冷光技術,結合美白劑,對不同牙齒特質進行納米冷光護齒美白。將牙齒內部的大分子染色劑(深色)分解為小分子(淺色或無色),從而實現美白效果。
美白牙齒過程
5大原因選冷光美白美國專業認證連續三年被美國牙科專業評審機構The USA DentalAdvisor(2016-2018)評定為頂級診室美白系統。連續14 年 推 荐為年度最佳診室牙齒美白系統2011-2024)
我們的服務優勢








